对虾白便的真相到底是什么?答案在这里
译文观点:白便为肝胰腺上的微绒毛脱落,之后聚合成蠕虫状体,其表观看起来像簇虫,但不是簇虫。
白便综合症(2014)
SriurairatanaS,BoonyawiwatV,GangnonngiwW,etal.Whitefecessyndromeofshrimparisesfromtransformation,
sloughingandaggregationofhepatopancreaticmicrovilliintovermiformbodiessuperficiallyresemblinggregarines.[J].PlosOne,2014,96):e99170.
全篇译文(省去材料方法,参考文献)
摘要
随着对虾急性肝胰腺坏死病(AHPND)在亚洲蔓延,蠕虫状如簇虫,开始在虾的肝胰腺和肠道流行。这种寄生虫疾病,往往伴随着出现白色的粪便,这种现象称为白便综合征(WFS)。取新鲜肝胰腺组织染色涂片,光学显微观察可以发现,蠕虫状体接近透明,其管宽和直径与肝胰腺小管相似。但尽管发现蠕虫状的物质出现,但并未发现其存在细胞结构。在高倍镜下观察发现(LM与40-100x目标),它是由一层膜包围的加厚的跨折叠膜的复合物。透射电子显微镜(TEM)发现这种蠕虫状体膜孔的非层膜与质膜和已知簇虫、其他原生动物或后生动物的外层都不相同。没有发现亚细胞的细胞器例如线粒体,细胞核,内质网和核糖体。内部膜只有一个管状的子结构,偶尔会包含整个B细胞,B细胞从肝胰腺小管上皮细胞脱落。这些内部膜显示,微绒毛从肝胰腺小管上皮细胞脱落,然后在管腔内聚集。微绒毛脱落时,原始细胞裂解了。与此相反,B细胞保持完整或分别独立地和整体的从细管上皮脱落。在光镜下,当脱落的微绒毛聚合包围B细胞就可能被误解为囊肿状结构,使它看起来像簇虫。ATM(蠕虫状体)的成原,目前还不清晰,但微绒毛脱落和随后的细胞的裂解表明,其形成是一种病理过程。一但更严重,ATM将可能延缓虾的生长,并可能使虾易患条件致病菌病。因而,ATM(蠕虫状体)的原因和它与急性肝胰腺坏死病之间的关系(如果有的话)需要继续研究确定。
前言
本文断断续续花了6年时间,发现白便为肝胰腺上的微绒毛脱落,之后聚合成蠕虫状体,其表观看起来像簇虫。最开始只是研究现象,之后在对各种已知的从病毒、细菌、真菌和寄生虫,虾病原体研究中,顺便也观察ATM。但直到最近才把现象和ATM联系起来,使它们成为链接成一个连贯的整体。为了找出它们之间的联系,我们曾进行了密集的调研。
自2009年以来,特别是2011年以来,进行了数以百计的虾标本研究,试图确定急性肝胰腺坏死病(AHPND)与它的关系。近年来,对虾疾病已对亚洲虾的养殖业造成严重的损失。AHPND暴发始于南美白对虾、斑节对虾和中国对虾。南美白对虾AHPND于2009年在中国暴发后,逐渐蔓延到越南(2010年),马来西亚(2011年)和泰国(2012),尽管该疾病在当时不知道具体原因。事实上,它直到2011才首次被定义为AHPND(称为急性肝胰腺坏死综合征或AHPNS),它在2011年6月,由来自亚利桑那大学的Lightner(未发表),在一个由越南动物卫生厅在河内组织的研讨会上提出。随后,于2012年1-2月,它被全球水产养殖倡导杂志定义为早期死亡综合症(EMS)。后来在同一年,亚太地区的水产养殖中心(NACA)编写了一个病证并在其网站上提供(www.enaca.org)。最后,该病原体(即单独的副溶血性弧菌)被发现于2013年。此病独特的诊断特点是虾肝胰腺中内侧脱落许多小管上皮细胞,目前把它作为来源于虾胃的致病菌的一个未知结果毒素(s)。目前确诊仍依赖于HP细胞的大量脱落的组织学诊断,数百虾涉嫌AHPND感染,主要做头胸部组织切片观察,且主要专注于虾的肝胰腺。在此工作的过程中,各种其他肝胰腺病原体有也遇到并记录,但不经常报道。这里发现了一个日益流行的异常现象,在斑节对虾和南美白对虾的肝胰腺、胃和肠道的连接处的小管内发现了蠕虫状体,表面看起来像簇虫。它们有时会产生大量的白色的粪便,这种现象称为白色粪便综合征(WFS),池塘养虾大约养到2个月开始发生,他们最初认为是簇虫导致的白便。据估计,2010年WFS对泰国的损失为10%-15%,主要降低虾的存活率和虾的规格,且这一估算排除了每年由白斑病给泰国造成的正常损失。在这里,我们用光学显微镜和电子显微镜对蠕虫状体进行了详细研究,表明它们不独立的有机体,而是是编队组成的集合。微绒毛转化(ATM)是虾肝胰腺小管上皮细胞从上面脱落,之后它们聚集在肝胰腺和肠道相接的地方,之后通过肠粪便排出。

A浮便B料台上粪便C白肠D金棕色肠道E粪便的显微照片a低倍镜下显示有3个蠕虫状体,其中1个在小管内b高倍镜下可见蠕虫状体内有B细胞c用孟加拉红给蠕虫状体染色,在高倍镜下观察其内部膜结构。
肝胰腺组织涂片染色,HE染色揭示ATM。显微照片清楚地显示蠕虫状形态,ATM内部或游离的囊肿样的内容。
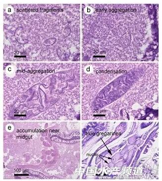
结果 左图)a细小碎片b早期聚合c中期聚合d压缩e在肠道附近聚集f肠道内真实的族虫,细胞核突出
右图)虾的肝胰腺HP组织切片甲苯胺蓝染色。(a)一个HP小管的远端末端截面显示在隐窝上有密集的染色颗粒,由细管管腔微绒毛在转化ATM时形成。注意微绒毛层所有的细胞是完整的。(b)HP小管处脱落,微绒毛正在转化中。(c)一个B-细胞从HP小管上脱落,有正常和正在转化的微绒毛,还有一个在裂解的细胞(d)在高放大倍率下的蠕虫状体ATM,有些包裹B-细胞,在ATM周围有很多碎片。
TEM(投射电镜)的微绒毛转化和脱落的步骤。(a)HP小管上皮细胞的低倍率显示正常和转化的微绒毛和两个脱落细胞的裂解。表明早期是由一层膜包围的。(b)低倍率下,部分微绒毛脱落,细胞裂解前的情况和未脱落的B细胞(c)高倍率下,清楚地显示出正常和转化、脱落的微绒毛之间的不同。(d)高倍率下HP小管上皮细胞的转化和脱落。
TEM(投射电镜)在HP小管隐窝中不寻常的电子致密颗粒。(A)低倍率下,HP小管内可变形的不知名的电子致密颗粒(B)高倍率下,上皮微绒毛上有一个颗粒,可能是之前进入的细胞。(C)高倍率下,微绒毛上皮细胞里面有电子致密颗粒,它旁边邻近的微绒毛表层细胞的形状发生了变化(D)低倍镜下,一个小管上皮细胞内有很多电子致密颗粒,其绒毛在转化的前期。
讨论 在我们用电镜揭示ATM的起源以前,我们用光镜发现其跟簇虫相似。那时一个关于簇虫的文献表明,在虾中还从来没报道过簇虫,当然也包括泰国发表的那篇与簇虫很相似的ATM。具体来说,它们缺乏动力,并没有表现出细胞器,如通常突出的原子核。从后续电子显微镜的结果确认:ATM没有细胞核和簇虫常有的超微结构(例如,复杂的膜结构,线粒体,核糖体等)。但是,我们发现了一个同约翰逊以前的研究相似的现象。她在螃蟹的肝胰腺小管中偶尔会发现透明的薄膜状的物质,她认为这个物质是从微绒毛上皮产生的。但她没有给出它们形成的细节,并表示无法解释它们的功能或意义,无法断定它们是否的一个正常的过程或是结果某种罕见的病理。我们虾的ATM形态特征与约翰逊螃蟹中的不明物质很相似,特别是投射电镜图。我们在其它甲壳动物的公开刊物中没找到类似的物质。当ATM的发生严重时,它可以导致虾形成白色粪便,如果很多同池的虾同时表现出这种现象,它可以导致浮便,有时会漂浮堆积(即白粪便综合征或WFS)。它通常出现在虾养殖2个月的时候,并可能伴有较高的死亡率。然而,ATM有时与虾的肝胰腺疾病如AHPND、弧菌病及对虾肠微孢子虫一起出现。导致的结果是,在越南WFS被认为是对虾肠微孢子虫导致的。但这随后在泰国的自然感染和实验室研究实验中表明不太可能是孢子虫导致的。因此,可以肯定的是,严重的WFS是大规模形成ATM导致的。然而,ATM形成的原因仍然是个谜,希望更多人能够去研究它的特性和形成机制。总的来说,我们的工作表明,ATM是由小管上皮细胞脱落,裂解,导致微绒毛转化而形成的。这表明ATM的形成是一种病理过程。事实上,现在通过活虾的HP组织涂片,很容易就发现了它。以前ATM在虾中没有发现,可能是流行率比较低的原因,正如先前约翰逊报道螃蟹也一样。然而,它们在亚洲流行越来越严重,就不能忽视这个问题了。明显的是ATM的流行于AHPND暴发流行有关系。虽然这可能有一定的因果关系,但同时也出现了肝胰腺的微孢子虫和AHPND一起流行的情况,但现在我们知道,当AHPND没有感染细菌时,微孢子虫与ATM的因果关系的可能性不大。而亲虾和仔虾的感染会导致微孢子虫和AHPND细菌增加虾的发病率。这个观点可以找到一点依据,泰国一些虾农收到同一批SPF仔虾,但它们或多或少在同一时间暴发了AHPND。我们的研究也可以说明,一些地方性的微孢子虫可以在南美白对虾亲虾和仔虾时感染,这应该是来源于美国,但却从未报道过。
总之以前的信息表明,虾孵化场的生物安全措施没有做到位,像外来的和当地的病原体都没排除干净。因此,对于ATM,我们必须考虑两个可能性。无论它们感染了类似AHPND和微孢子虫时,或它们感染了多种病原体但交替的表现不同病源病症。例如,已经报道,AHPND细菌产生一种强效的毒素能引起肝胰腺小管上皮细胞脱落。在没有细胞脱落时,低剂量的毒素能否导致ATM?为了测试这后一种可能性,实验室用病原体细菌的稀释毒素建立了感染模型。当出现新的病原体时,不管虾中有或没有ATM时,对其基因组进行对比分析是比较有效的。或者,电子致密颗粒与微绒毛的转化有有关的,这个可以作为一个研究方向。比如,可以用物理手段将它们分离出来。通过组织匀浆,差速离心和过滤,之后对它进一步分析。最后,我们通过透射电镜发现,ATM的表面结构跟簇虫很像。现在在亚洲养殖的虾的肝胰腺体内常发现不是独立有机体的物质。它是由HP小管的上皮细胞的脱落和聚合,微绒毛转化时形成的。裸露的上皮细胞随后裂解,表明该过程对虾的生长和存活有负面影响。严重时可导致白便综合症(WFS)。需要进一步研究ATM产生的原因,并评估其对虾养殖业生产的影响。
上一篇: 研报乌龙:这次禽流感不一样
下一篇: 海南首笔罗非鱼养殖收入保险落地